更新时间: 2022/04/15 浏览数: 3732
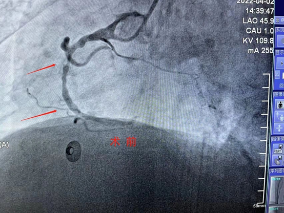
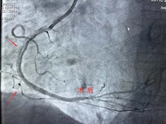
近日,商城县人民医院心血管内科首次开展血管内超声检查(IVUS)加血管内旋磨技术,这一手术治疗的完成,实现了商城县心血管疾病治疗新的突破,真正做到了大病不出县,在家门口就能享受三甲医院的治疗水平,很大程度的缓解了看病远、看病难的实际问题,造福了大别山区广大心血管疾病患者。 患者刘某,女,72岁,因有发作性胸闷、胸痛1月余并且加重3天来我院心血管内科就诊,入院后阳性检查结果示:窦心心率、频发性室性早搏、部分导联ST-T异常、左心房增大、左室壁节段性运动异常、主动脉瓣大量反流,主动脉瓣退行性变,二尖瓣少量反流,左室舒张功能减低;冠脉造影结果示:右冠状动脉重度钙化。经心血管内科熊晨晖主任团队综合评估认为常规的手术方法冠脉支架难以通过和释放,结合患者情况,经与家属沟通后,决定为其行"血管内超声+冠脉旋磨术"。 4月9日,在郑州大学第一附属医院禹海文教授的指导下,心血管内科团队成功为患者右冠脉重度钙化病变处进行了血管内超声+冠脉旋磨术后成功为患者植入了支架,手术过程顺利,术后冠脉血流恢复良好,效果满意,得到了患者及家属的赞扬与肯定! 作为国家标准化心血管诊疗中心,在这两项技术的支持下,我院心血管内科冠脉介入手术将会更加科学化、精准化,进一步提高手术成功率,全面提高我县冠脉介入水平,为复杂冠状动脉病变的患者带来福音,为全面贯彻落实《健康中国行动(2019-2030)》战略,为健康商城贡献一份力量。 科普小知识 血管内超声(intravenous ultrasound,IVUS)是指无创性的超声技术和有创性的导管技术相结合,使用末端连接有超声探针的特殊导管进行的医学成像技术。血管内超声是通过心导管将微型化的超声换能器置入心血管腔内,显示心血管断面形态和(或)血流图形,主要包括超声显像技术和多普勒血流测定两方面。这种技术使得超声技术,如压电传导或者超声传感器得以用于检查血管内壁的情况。 血管内超声主要应用于冠状动脉系统的诊断。1.冠状动脉造影不能明确诊断的病例。2.需明确病变形态和斑块性质。3.评价病变长度,明确支架的选择和放置。4.评价支架植入术等冠状动脉介入治疗疗效。5.冠状动脉病变的远期随访性研究。 什么是冠脉旋磨术? 冠状动脉内膜旋磨术(coronary trartsluminal rotational atherectomy,Rotablator),或称为冠脉旋磨成形术(简称旋磨术),是指使用带有超高速旋转的转头Rotablator将冠脉内粥样硬化斑块、钙化组织碾磨成极细的微粒,从而将阻塞的血管腔的斑块消除。 冠脉旋磨术的适应症 冠状动脉腔内斑块旋磨术主要适用于解剖学上高危的病变,如钙化的病灶、开口处病灶、球囊难以扩张的病灶和长段血管病灶。从冠脉病变分型来看,这些病变多属C型病变,PTCA功率低且并发症发生率较高,但不少报道显示采用旋磨术治疗早期手术成功率很高,而并发症的发生率却明显减少。 冠脉旋磨术的手术方法 先经股动脉硝插入一根8~10F标准导引管至冠状动脉口,然后经导引管送入旋磨导管,将特制的导丝送过狭窄病变至冠状动脉远端,再沿导丝将钻磨头推送至狭窄病变的近端,开动马达使钻磨头高速旋转并推动其前进直到通过病变,最后关闭马达。钻磨头可后撤至病变近端,重复旋磨直到推送和后撤钻磨头时阻力消失,术后重复造影满意,撤出钻磨头。如结果不满意时,可辅以PTCA,以扩张残余狭窄。


















版权所有:Copyrights © 2020 www.scxyy.cn All Rights Reserved 商城县人民医院
ICP备案号:豫ICP备19025937号-1 豫公网安备41048202000000号
技术支持:河南微监